
턱관절 장애의 주범…‘질기고 딱딱한 음식’
■ 이부규 서울아산병원 치과 교수여름방학이 되면 치과에는 수술 받으려면 학생들로 붐빈다. 턱관절 장애, 턱기형 교정 수술 등..
피로감과 치통을 원인으로 생각해 무심코 방치하다간 증상 악화로 일상생활을 하기 어려워지는 것은 물론 대인기피증으로 이어질 수 있어 조기 진단과 치료가 필요하다.삼차신경통은 인류에 알려진 가장 심한 통증을 일으키는 질환의 하나다. 초기에는 순간적인 안면 통증으로 나타난다. 점차 주기가 짧아지고 통증 정도가 ..

■ 이부규 서울아산병원 치과 교수여름방학이 되면 치과에는 수술 받으려면 학생들로 붐빈다. 턱관절 장애, 턱기형 교정 수술 등..

우장춘 박사 일대기올해는 개인적인 사정으로 수박을 8월 마지막 주나 되어서야 먹었다. 이렇게 맛있는 걸 여름 내내 못 먹었다..

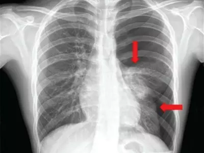
■ 황유화 분당서울대병원 흉뷰외과 교수흉부 X선 검사에 나타난 기흉.# 고3 남학생 A군은 키가 크고 마른 체형이다. A군은 모의..

국민 10명 중 8명은 수용하기 어려운 고통을 겪는 말기 환자가 원하면 의사의 도움을 받아 스스로 삶을 마무리할 수 있도록 하는..

성균관‘차례상 표준화 방안’발표 기름진 음식 예 아니란 기록제물 위치는 가족끼리 정하면 돼술 권장하나 찻물 등 올려도..